Restore Your Smile with Dental Bridges
𝙀𝙫𝙚𝙧𝙮 𝙏𝙤𝙤𝙩𝙝 𝙈𝙖𝙩𝙩𝙚𝙧𝙨
Dental Bridges Designed for Your Perfect Smile
Bridges
Implant-Supported Bridge
Dental Bridges Designed for Your Perfect Smile
General disclaimer: The results shown are examples only and not a guarantee, and all outcomes are subject to the circumstances of the individual patient.
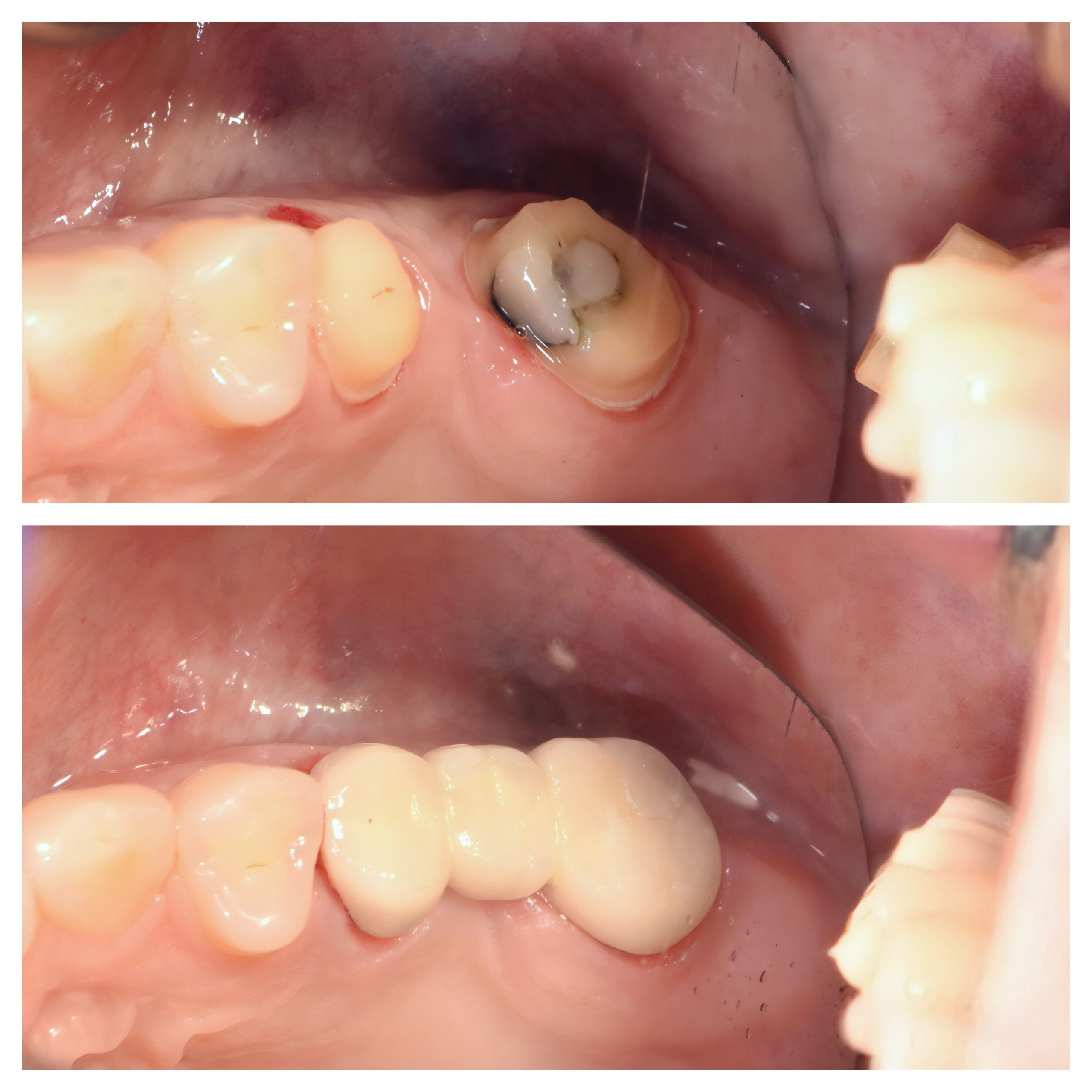
Bridges
General disclaimer: The results shown are examples only and not a guarantee, and all outcomes are subject to the circumstances of the individual patient.
Implant-Supported Bridge
Improve Your Oral Health with Dental Bridges
Missing a tooth? Consider dental bridges for a restored smile and enhanced oral health. They effectively fill gaps, preventing teeth from shifting, maintaining bite alignment, and improving chewing and speaking.
Discover the benefits of a dental bridge today!
Natural Look and Feel
Improved Functionality
Increased Confidence
Prevent Further Dental Issues
Expert Care and Trust
Why Choose TÜTH Dental Clinic
Here’s why you can rely on us for your oral health:
Comprehensive Dental Services
TÜTH Dental offers a variety of dental services to address all your oral health needs, all under one roof. From routine check-ups to cosmetic procedures and advanced oral surgeries, our team has the experience and resources to offer comprehensive care.
Experienced & Skilled Team
Our team of dental professionals consists of experienced and highly trained individuals who are passionate about providing top-tier care. Our dentist is trained and experienced at EVERY discipline of dentistry. We focus on providing complex, multi-disciplinary dental treatment and full-mouth reconstruction. We stay up-to-date with the most current developments in dentistry to be certain our patients receive the best treatment possible.
State-of-the-Art Technology
At TÜTH Dental, we invest in the most current dental technology to enhance our services and improve patient comfort. From digital X-rays to intraoral cameras and 3D scanners, we use advanced dental tools to diagnose and treat oral health issues accurately.
Patient-Centered Approach
Our team focuses on patient satisfaction and comfort above all else. We will always take the time to listen to your concerns, explain different treatment options, and create personalized plans that meet your needs and goals. We want to help you understand what’s happening to your body, and what’s the best way to treat it.
No Hidden Fees
Nobody likes hidden fees. Before starting any treatment, we are committed to always providing an accurate estimate of your treatment cost. Our experienced treatment coordinators can check your insurance coverage beforehand and provide a clear estimate of what they do and don’t cover. If we find that your tooth condition has changed, we will clearly document it with our intraoral camera or digital x-ray before providing you with an updated treatment option and quote so we are all on the same page.
TÜTH Dental Experience
1Comprehensive Exam
2New Patient Consultation
3Treatment
4Regular Cleaning and Preventive Measures