Healthy Gums, Healthy Smile: Periodontics

Taking care of your gums is just as important as caring for your teeth. At TÜTH Dental in Richmond, we offer top-quality periodontic services to keep your gums healthy and ensure a beautiful, radiant smile.

𝙀𝙫𝙚𝙧𝙮 𝙏𝙤𝙤𝙩𝙝 𝙈𝙖𝙩𝙩𝙚𝙧𝙨

Expert Periodontal Care Tailored for You

Periodontics involves the prevention and treatment of gum diseases like gingivitis and periodontitis. At TÜTH Dental, our skilled team offers scaling and root planing, pocket reduction surgery, bone and gum grafting, and dental implants. We customize treatments to meet your needs, ensuring optimal oral health.

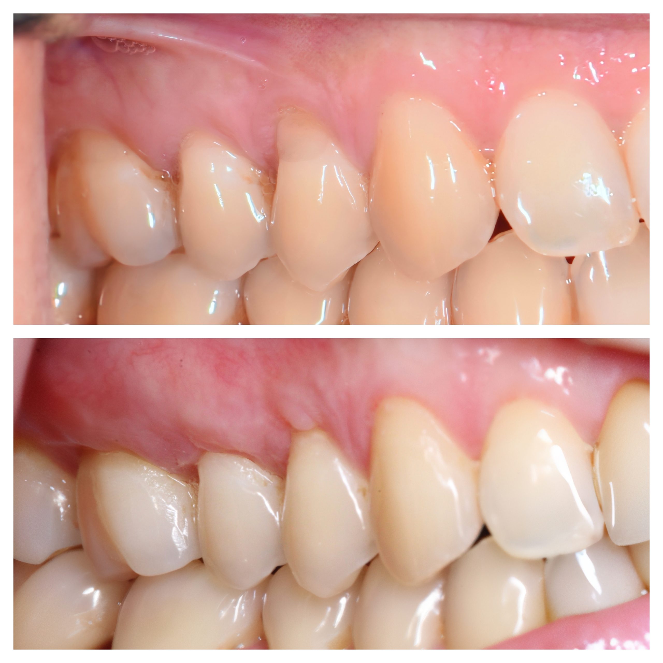
General disclaimer: The results shown are examples only and not a guarantee, and all outcomes are subject to the circumstances of the individual patient.

Deep Clean

Our dental procedure, known as scaling and root planing, thoroughly removes plaque and tartar from below the gum line, improving your oral hygiene and preventing gum disease.

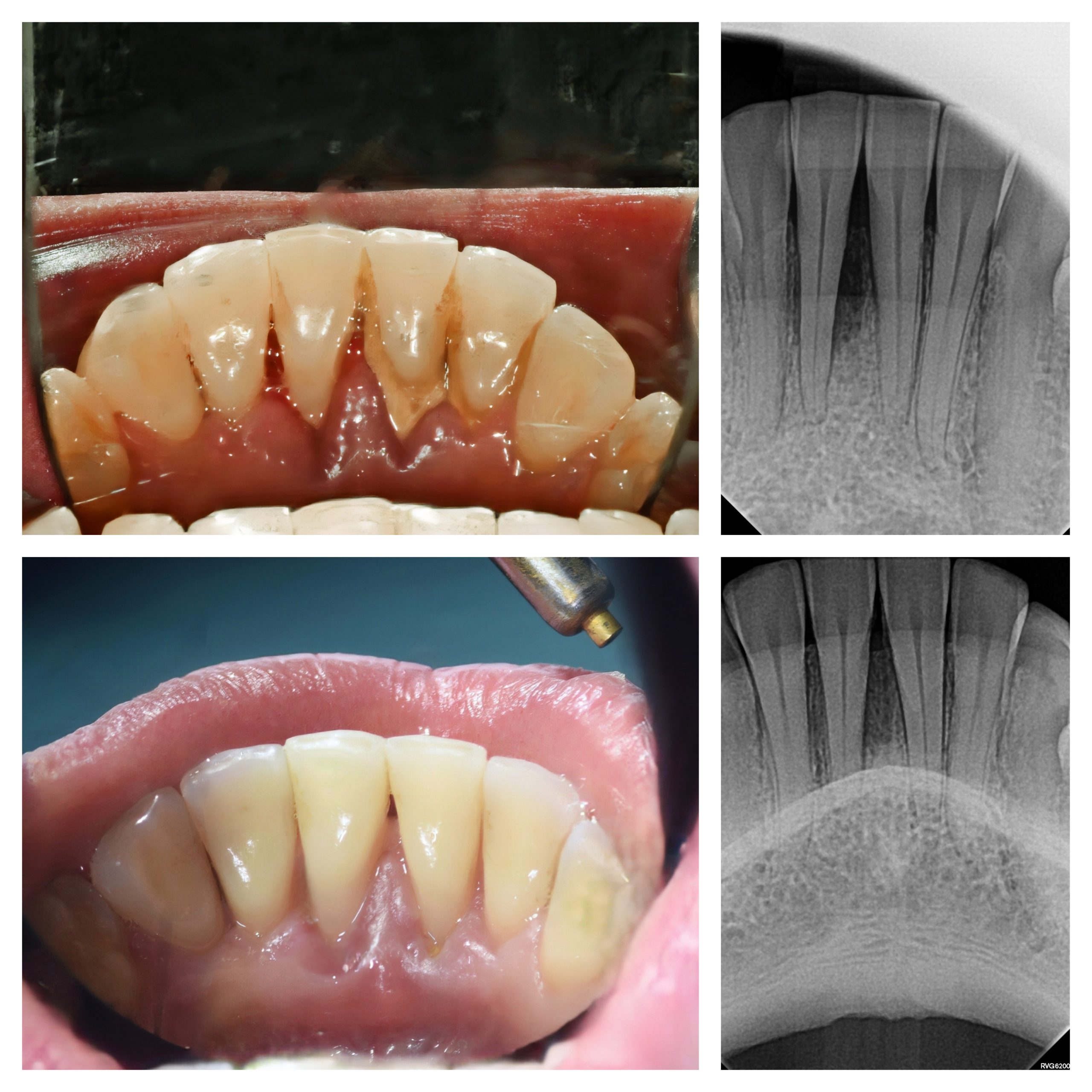
Pocket Reduction Surgery

When you have too much bacteria and calculus build-up, even deep cleaning can’t get rid of all the pathogens. This treatment removes the deep bacteria and reduces the depth of gum pockets, preventing future bacterial buildup and enhancing overall periodontal health.

General disclaimer: The results shown are examples only and not a guarantee, and all outcomes are subject to the circumstances of the individual patient.

Bone Graft

This procedure involves transplanting bone tissue to repair and reconstruct diseased or damaged jawbones, promoting healing and stability for your teeth. If you have a missing tooth, this can be done to increase bone width and height to prepare for a future implant.

General disclaimer: The results shown are examples only and not a guarantee, and all outcomes are subject to the circumstances of the individual patient.

Gum Graft

This procedure takes tissue from the top of your mouth to cover exposed tooth roots, enhancing gum health and protecting your teeth from further damage. This can also enhance your smile if you feel like your gum level is uneven in some places.

Keep Your Smile Healthy with Periodontics

Periodontal treatments provide numerous advantages for oral health, such as promoting healthier gums, strengthening teeth, and reducing the risk of infections.
Here’s why you should consider them:

Preventing Gum Disease

Engaging in regular periodontal care is crucial for preventing gum diseases like gingivitis and periodontitis. If not treated, these conditions can cause serious oral health issues, including tooth loss, making consistent dental check-ups and cleanings essential for maintaining health.

Maintaining Overall Oral Health

Taking diligent care of your gums is key to preserving the health of your entire mouth. This involves maintaining the strength and vitality of your teeth and ensuring your gums are free from infection and inflammation.

Improved Appearance

Periodontal services such as gum grafting can significantly enhance your smile’s aesthetic by covering exposed tooth roots. This procedure helps reduce the appearance of receding gums, contributing to a more balanced and attractive overall smile.

Increased Confidence

A healthy, radiant smile boosts your confidence and attractiveness, positively impacting your self-esteem and overall well-being. Feeling secure about your oral health means you can engage in social situations with assurance and poise, enhancing your quality of life.

Expert Care and Trust
Why Choose TÜTH Dental Clinic

Our team at TÜTH Dental understands that choosing a new dentist can be overwhelming. This is why we will always thoroughly explain every finding and treatment options to you to help you make an informed decision about your teeth. We believe that trust is the foundation of a successful dental visit—and it’s something we strive to earn with every patient.

Here’s why you can rely on us for your oral health:

TÜTH Dental offers a variety of dental services to address all your oral health needs, all under one roof. From routine check-ups to cosmetic procedures and advanced oral surgeries, our team has the experience and resources to offer comprehensive care. 

Our team of dental professionals consists of experienced and highly trained individuals who are passionate about providing top-tier care. Our dentist is trained and experienced at EVERY discipline of dentistry. We focus on providing complex, multi-disciplinary dental treatment and full-mouth reconstruction. We stay up-to-date with the most current developments in dentistry to be certain our patients receive the best treatment possible.

At TÜTH Dental, we invest in the most current dental technology to enhance our services and improve patient comfort. From digital X-rays to intraoral cameras and 3D scanners, we use advanced dental tools to diagnose and treat oral health issues accurately.

Our team focuses on patient satisfaction and comfort above all else. We will always take the time to listen to your concerns, explain different treatment options, and create personalized plans that meet your needs and goals. We want to help you understand what’s happening to your body, and what’s the best way to treat it. 

Nobody likes hidden fees. Before starting any treatment, we are committed to always providing an accurate estimate of your treatment cost. Our experienced treatment coordinators can check your insurance coverage beforehand and provide a clear estimate of what they do and don’t cover. If we find that your tooth condition has changed, we will clearly document it with our intraoral camera or digital x-ray before providing you with an updated treatment option and quote so we are all on the same page.

TÜTH Dental Experience

We take pride in the trust you place in us, valuing the responsibility of caring for your smile. Transparency in treatment and your comfort are our top priorities throughout your experience with us.

1Comprehensive Exam

Our thorough examination will assess the overall health of your teeth and gums. This helps us identify any potential issues early on. Our exam includes full-mouth x-rays, photos, a 3D oral scan, and a review of your medical and dental history. A complementary oral cancer screening is also provided.

2New Patient Consultation

Once we have gathered all the necessary information, we can then begin your journey to better dental health with a personalized consultation. We’ll discuss your dental history and any concerns you might have and come up with a comprehensive treatment plan that covers the esthetics, function, structure, and biology of your oral health.  

3Treatment

If we find any dental issues, we’ll schedule a follow-up appointment to address them. This could involve treatments such as fillings, root canals, or implants. We will focus on the most urgent and immediate matter first then work our way down the priority list. This usually means controlling infectious dental disease such as cavities, root canals, or extraction first, then we focus on rehabilitating any missing teeth (i.e. implants or bridges) or improving your bite. Once that’s addressed, we can then focus on any cosmetic concerns you might have and maintenance.

4Regular Cleaning and Preventive Measures

Once we have treated all of your dental diseases, we can then focus on maintaining your dental health with our regular cleaning services and check-up. Preventive care helps keep your smile bright and healthy for the future.

Meet the Team Behind Your Smile

Dr. Royce Yang, a general dentist at TÜTH Dental in Richmond, has extensive experience in cosmetic dentistry, oral surgery, implantology, and endodontics. Since receiving his Doctor of Dental Medicine from the University of British Columbia, he has completed over 100+ complex full-mouth rehabilitations and served more than 4,000 patients.
Renowned for his precision and commitment to creating beautiful, functional smiles, Dr. Royce  continuously enhances his expertise through advanced soft tissue grafting, dental implants, and laser dentistry certificates. He also provides veneers, implants, and Invisalign treatments. Dr. Royce has completed 400 credits of continuing education in the past three years, which is four times more than what’s required for your average dentist. He is also one of the most requested dentists to treat fellow dental professionals.
At TÜTH Dental, Dr. Royce leads a small yet dedicated team to provide exceptional dental care individually tailored to clients and ensure their smiles dazzle for any occasion. Visit TÜTH Dental for expert, compassionate care that you can rely on.