ABOUT

Immediate Dental Implant In Richmond: Why Replacing A Tooth Right After Extraction Can Improve Healing And Results

Losing a tooth is rarely a planned event. In many cases, patients come in with discomfort, infection, or a tooth that can no longer be restored. While the immediate focus is often on removing the problem, what happens next plays a major role in both healing and long-term oral health. When a tooth is not salvageable, the decision is no longer just about extraction, but about how to preserve the surrounding structures and restore function in a predictable way.

One of the most effective approaches in these situations is immediate implant placement. Instead of removing the tooth and waiting several months for healing before starting the implant process, the implant is placed at the same time as the extraction. This method is not suitable for every case, but when conditions are favorable, it can significantly improve both the patient experience and the final outcome.

When A Tooth Cannot Be Saved And What Comes Next

Not every damaged tooth requires extraction, but there are clear clinical situations where removal becomes the most responsible option. Severe decay, advanced infection, vertical root fractures, or failed previous treatments can compromise a tooth beyond repair. In these cases, attempting to preserve the tooth may lead to ongoing discomfort and can allow infection to spread to surrounding tissues.

Once the decision to extract is made, the focus shifts to preserving the bone and soft tissue in that area. After a tooth is removed, the body naturally begins to remodel the bone, which often leads to shrinkage over time. This process can affect both function and aesthetics, especially in visible areas of the mouth. Planning for replacement at the time of extraction allows the dentist to work with the existing anatomy rather than trying to rebuild it later.

Immediate implant placement takes advantage of this timing. By positioning the implant directly into the socket after removing the tooth, it is possible to maintain the natural contours of the bone and gums more effectively than with a delayed approach. This can make a meaningful difference in both healing and long-term stability.

Benefits Of Immediate Implant Placement For Healing And Long-Term Results

Immediate implant placement is often chosen not only for efficiency, but because of the biological advantages it can provide when performed under the right conditions. This approach allows the dentist to preserve the structure of the mouth while reducing the number of surgical interventions required.

  • Fewer surgical procedures: Because the implant is placed during the same appointment as the extraction, patients typically avoid a second surgery. This reduces overall treatment time and can make the experience more comfortable.
  • Preservation of bone structure: Bone loss naturally begins after a tooth is removed. Placing an implant immediately helps maintain the volume of the bone, which is critical for both function and aesthetics.
  • Better gum contour: The soft tissue surrounding the tooth plays a key role in how natural the final result looks. Immediate placement supports the existing gum architecture, helping achieve a more natural emergence profile.
  • More efficient healing process: Combining extraction and implant placement into a single procedure allows the body to heal around the implant from the beginning, rather than going through multiple healing phases.
  • Improved long-term outcomes: When properly planned and executed, immediate implants can provide excellent stability and integration, supporting durable and predictable results over time.

These benefits are closely tied to case selection and clinical precision. Not every situation allows for immediate placement, which is why a thorough evaluation is essential before recommending this approach.

A Real Clinical Case From Our Practice

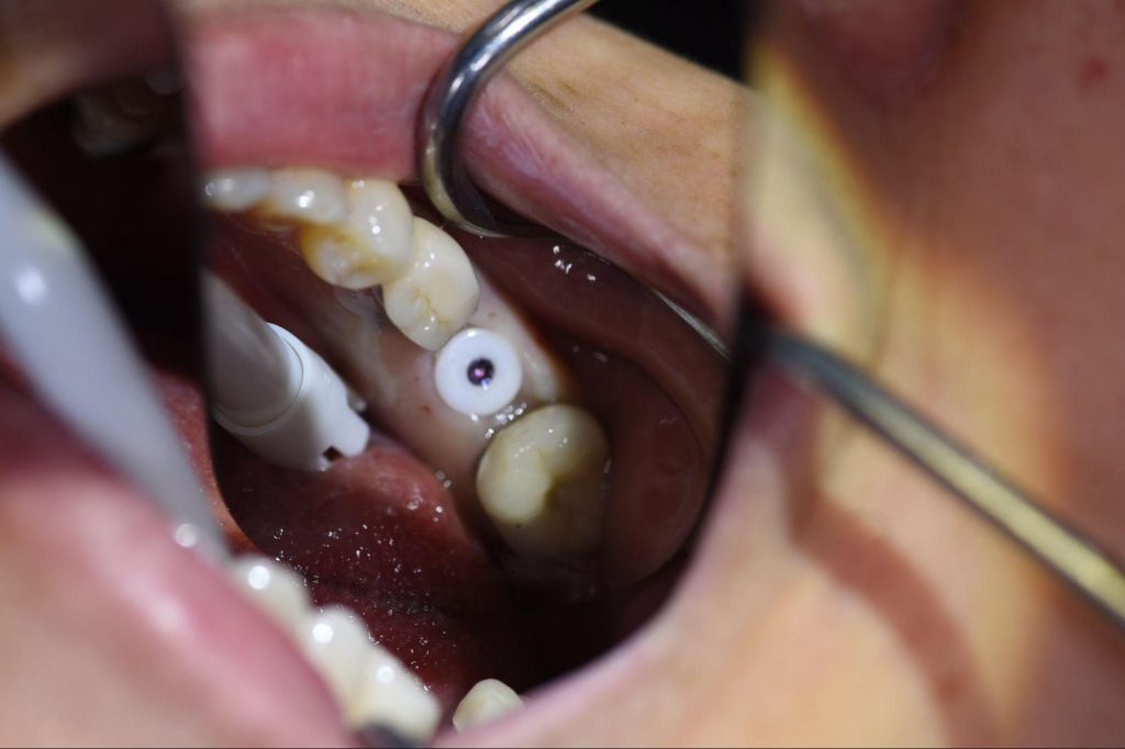
As a dentist, I often see patients who arrive with a tooth that can no longer be saved due to infection or structural damage. In one particular case, a patient presented with a severely compromised tooth that had progressed beyond the point of restoration. The surrounding area showed signs of infection, and the tooth had to be removed to prevent further complications.

After evaluating the bone condition and ensuring that the infection could be properly managed, we determined that immediate implant placement was a viable option. The tooth was carefully extracted, and the implant was placed during the same appointment, allowing us to preserve the existing bone and soft tissue as much as possible.

Because the treatment was completed in a single surgical phase, the patient experienced a more streamlined recovery and avoided the need for a second procedure. Over time, the area healed well, and we were able to restore the tooth with a natural-looking final result that maintained both function and aesthetics. Cases like this highlight how immediate implant placement, when appropriate, can simplify treatment while improving outcomes.

When Immediate Implants May Not Be The Right Option

Although immediate implant placement offers clear advantages, it is not suitable for every patient or every clinical situation. The presence of uncontrolled infection, insufficient bone volume, or lack of primary stability may require a more staged approach.

In these cases, the dentist may recommend allowing the area to heal first before placing the implant. While this extends the treatment timeline, it ensures that the implant is placed in a stable and healthy environment, which is critical for long-term success. The goal is always to choose the approach that offers the most predictable and durable result, rather than forcing a faster solution.

Immediate Dental Implant In Richmond At Tüth Dental

Immediate dental implant in Richmond is most effective when it is carefully planned and tailored to each patient’s condition. At Tüth Dental, we evaluate whether a tooth can be preserved and, when extraction is necessary, whether immediate implant placement is a safe and beneficial option.

Our approach focuses on preserving bone structure, supporting natural gum contours, and delivering long-term stability through precise clinical techniques. If you have been told that a tooth may need to be removed or are experiencing symptoms of infection, a professional evaluation can help determine whether immediate implant placement is the right solution for you. Get in touch and we can help you!