ABOUT

Wisdom Teeth Removal In Richmond: Why Delaying Extraction Can Damage Healthy Teeth

Wisdom teeth are something most people hear about in their late teens or early twenties, often with the assumption that they will eventually need to be removed. In reality, that is not always the case. Some wisdom teeth grow normally and can remain in the mouth without causing significant problems.

The key is proper monitoring. Dentists routinely evaluate wisdom teeth during regular checkups to see how they are developing and whether there is enough space for them to erupt safely. When the teeth are well positioned and easy to clean, they may not require removal at all.

However, wisdom teeth frequently grow at awkward angles or sit very close to the neighboring molar. When that happens, the area can become extremely difficult to clean and problems may begin developing quietly over time. In these situations, delaying treatment can sometimes lead to damage not only to the wisdom tooth itself, but also to the healthy tooth beside it.

Why Wisdom Teeth Often Cause Problems For Nearby Teeth

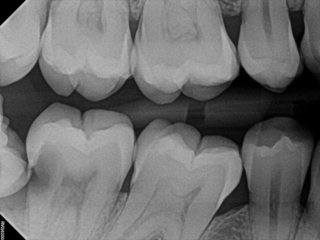
Wisdom teeth are the last molars to develop, and by the time they appear there is often limited space in the jaw. Because of this, they frequently grow sideways, remain partially impacted, or press against the adjacent molar. This positioning makes the area extremely difficult to clean properly (as you see in the image below).

When bacteria accumulate between a wisdom tooth and the neighboring molar, plaque and decay can develop in a location that is almost impossible to reach with regular brushing and flossing. Even patients with excellent oral hygiene may struggle to maintain this area because of the tooth’s angle and the limited space.

As decay progresses, it may affect both teeth at the same time. In many cases the wisdom tooth was never functioning properly to begin with, but the healthy molar beside it may also become compromised if the issue is not addressed early.

How Delaying Wisdom Teeth Removal Can Lead To Larger Dental Problems

One of the biggest misconceptions about wisdom teeth is that they only need attention when they become painful. In reality, damage often begins slowly and silently. Cavities between the wisdom tooth and the second molar may develop without obvious symptoms until the decay becomes severe.

When the neighboring tooth becomes affected, treatment becomes more complicated than simply removing the wisdom tooth. Patients may require fillings, root canal treatment, or in severe cases extraction of the healthy tooth as well.

Early evaluation allows dentists to identify high-risk wisdom teeth before they create this type of damage. Removing them at the appropriate time can prevent the need for additional procedures and protect the surrounding teeth.

A Real Clinical Case From Our Practice

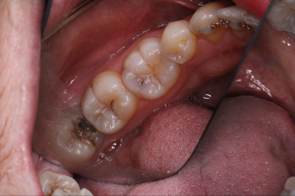
As a dentist, I often explain to patients that delaying wisdom tooth extraction can sometimes lead to consequences that are much more serious than the procedure itself. A recent case in our clinic illustrates this clearly.

One patient had been advised several times over the years to remove a wisdom tooth that was partially impacted and leaning against the neighboring molar. Because the tooth was not causing pain, the extraction kept getting postponed.

By the time the patient returned with discomfort, a large cavity had formed in the area where the wisdom tooth was pressing against the adjacent molar. Unfortunately, the decay had progressed so far that both teeth were affected. In the end, we had to remove the wisdom tooth and the neighboring molar as well, and the patient later required a dental implant to restore the missing tooth.

Cases like this highlight why dentists often recommend addressing problematic wisdom teeth earlier rather than waiting until symptoms appear.

Signs That Wisdom Teeth May Be Affecting Other Teeth

Wisdom teeth do not always cause obvious pain right away. In many situations, the first warning signs are subtle and easy to overlook. Paying attention to early indicators can help prevent more significant damage.

Some common signs that wisdom teeth may be affecting nearby teeth include:

  • Persistent food trapping behind the last molar;
  • Difficulty flossing between the back teeth;
  • Gum tenderness or swelling near the wisdom tooth;
  • Bad taste or occasional bad breath coming from the area;
  • Sensitivity when chewing near the back molars.

These symptoms do not always mean that extraction is required, but they do signal that the area should be evaluated by a dental professional.

Wisdom Teeth Removal As A Preventive Decision

Wisdom teeth removal is often recommended as a preventive measure rather than a reaction to pain. When dentists identify wisdom teeth that are likely to damage surrounding structures, early removal can protect healthy teeth and simplify treatment.

The procedure itself is typically straightforward when performed before extensive decay or infection develops. Patients often recover more comfortably and avoid the need for additional restorative procedures that could arise if the neighboring teeth become affected.

Taking a proactive approach to wisdom teeth is one of the most effective ways to preserve the health of the rest of the mouth.

Wisdom Teeth Removal In Richmond At TÜTH Dental

Wisdom teeth removal in Richmond should always begin with a careful clinical evaluation and a clear explanation of the available options. At Tüth Dental, we assess the position of the wisdom teeth, the health of surrounding structures, and the potential risks before recommending treatment.

Our goal is to help patients protect their natural teeth and avoid preventable complications. If you have been told that your wisdom teeth may need attention, or if you are experiencing discomfort near the back molars, scheduling a professional assessment with us can help determine the best course of action.